Versana Balance snažan je ultrazvučni sustav dizajniran za kliničare u ustanovama primarne zdravstvene zaštite koji su već koristili ultrazvuk i žele proširiti svoje dijagnostičke mogućnosti. S visokokvalitetnim slikama za širok raspon kliničkih pregleda i automatiziranim alatima koji pojednostavljuju tijek rada, Versana Balance je savršena ravnoteža funkcionalnosti, pristupačnosti i pouzdanosti – bez ugrožavanja brige o pacijentu.
Versana Balance™
Područja primjene
Pouzdan ultrazvuk za vašu ordinaciju

Automatizirana optimizacija slike
Upotrijebite Whiz Dynamic Image Tuning za automatsku optimizaciju slike pritiskom na gumb, čak i dok se krećete s jedne strukture na drugu.
Automatizirani alati za produktivnost
Upotrijebite Scan Assistant za izradu i postavljanje standardiziranih protokola za vaš ultrazvučni pregled kako biste sačuvali dragocjeno vrijeme i osigurali ponovljivost među operaterima. Kada provodite naknadne preglede, možete automatski identificirati istu sondu, unaprijed postavljene postavke, dubinu, pojačanje i frekvenciju prethodnih skeniranja.
Prepoznavanje igle
Pojednostavite postupke biopsije tehnologijom koja pojašnjava točan položaj vrha igle.
Ergonomsko korisničko sučelje
Versana Balance opremljena je konzolom podesivom po visini i dodirnom pločom s više pokreta za intuitivan i inteligentan tijek rada.
Glasovni komentari
Spojite mikrofon, odaberite odgovarajuću ikonu na dodirnom zaslonu Versana Balance i snimite komentare za kasniju procjenu ultrazvučnih slika.
Prilika za rast
Uz Versana Balance imat ćete potpuno obučen, kvalificiran i iskusan tim za podršku spreman pomoći kad god vam je potrebna pomoć. Dobit ćete detaljne upute o proizvodu uz tehničku, kliničku i mrežnu podršku na daljinu ili na licu mjesta. Osim toga, naš tim stručnjaka može vam pomoći odabrati koji paket sondi i softvera najbolje odgovara vašim potrebama.

Poboljšajte svoju dijagnostičku sposobnost
Versana Balance vam nudi pouzdanu kvalitetu slike koja je među najboljima u svojoj klasi. Birajte između široke palete sondi i kliničkih alata, iskoristite izvrsnu prostornu i kontrastnu rezoluciju za učinkovito postavljanje sigurnih dijagnoza. Alati kao što su B-Flow™ i B-Flow color, na primjer, pružaju intuitivniji prikaz nekvantitativne hemodinamike u vaskularnim strukturama, dok vam 4D funkcionalnosti omogućuju dodavanje pokreta 3D slici kako biste omogućili brzu rekonstrukciju anatomskih pregleda.
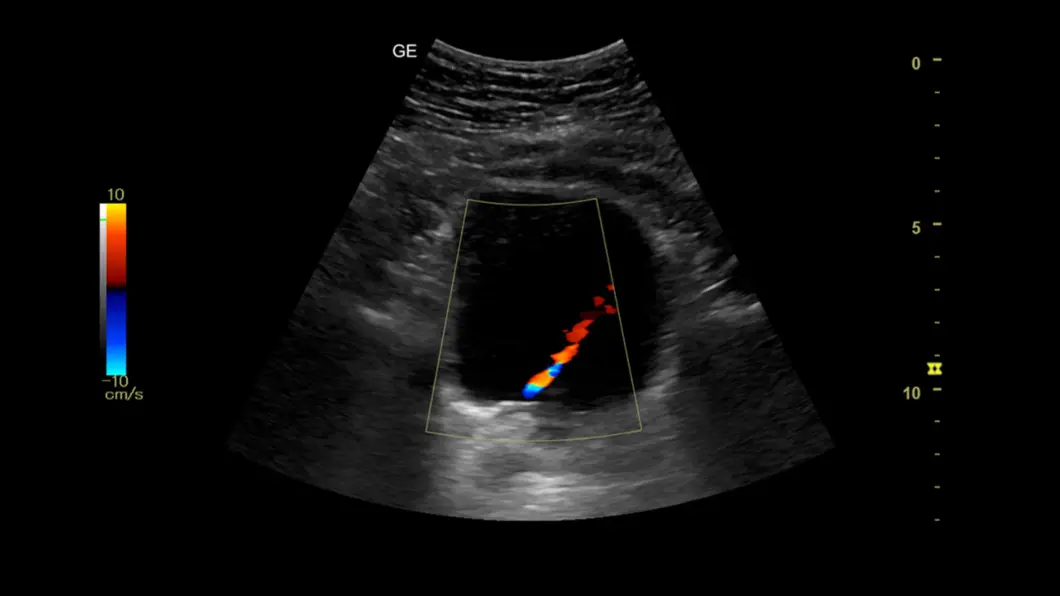
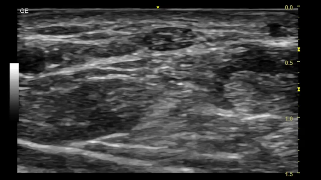
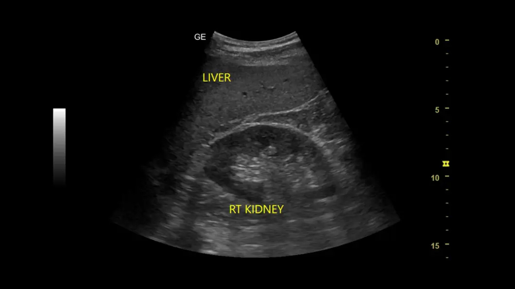
Versana Balance na dijelu
Pogledajte snažne, visokokvalitetne kliničke slike koje Versana Balance može pružiti pri izvođenju uobičajenih i visoko specijaliziranih ultrazvučnih pregleda.
Brošura o proizvodima
Otkrijte detaljne informacije o ultrazvučnom sustavu Versana Balance i saznajte kako će vam pomoći da učinkovito pružite pouzdanu njegu.

Reference
* Available on Versana Balance V2.
