Dizajniran kako bi odgovarao vašoj ordinaciji, vašem prostoru i vašim potrebama, aerodinamičan, ali moćan, Venue Fit ima najmanje dimenzije u obitelji Venue, a istovremeno zadržava značajke koje ste očekivali. Dizajniran za podnošenje užurbanog posla kako biste se mogli usredotočiti na svoje pacijente, Venue Fit je spreman kada i gdje se nalazite.
Jednostavan, brz i precizan partner za vaše mjesto njege
Područja primjene
Jedinstveno prilagodljiv

Koristite kao stolni sustav ili na stalku
Ovisno o vašim potrebama, Venue Fit dizajniran je da ide gdje god idete. Upotrijebite ultrazvučni sustav kao stolni sustav ili sustav koji se temelji na kolicima za rješavanje vašeg zadatka.
Spreman za rad
Opremljen dugotrajnim baterijama koje omogućuju aktivno vrijeme skeniranja do sat vremena.
Malen i okretan
Premjestite kolica od stola do zida pomoću kotača koji se mogu manevrirati i malenih dimenzija.
14-inčni monitor osjetljiv na dodir
Jednostavno, jasno i intuitivno sučelje s jednostavnim zaslonskim načinom rada koji povećava sliku za 18%.
Konfigurirano za vas
Podesivi položaj sonde, gela, čitača crtičnog koda, visine, položaja kolica i upravljanje kabelima.
Pojednostavite svoj tijek rada s kliničkim alatima s pomoću umjetne inteligencije.
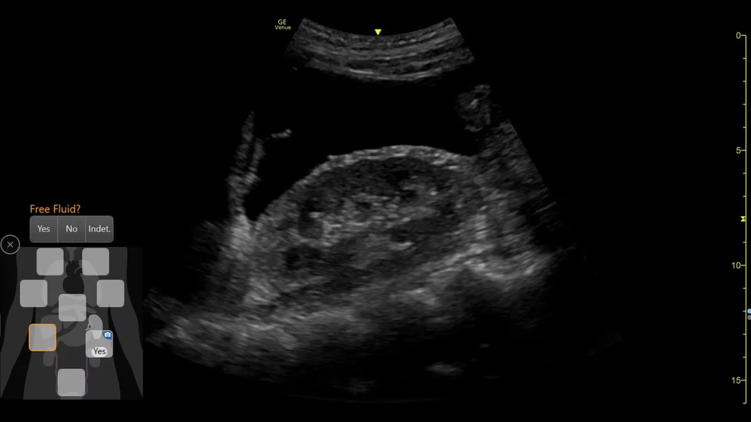
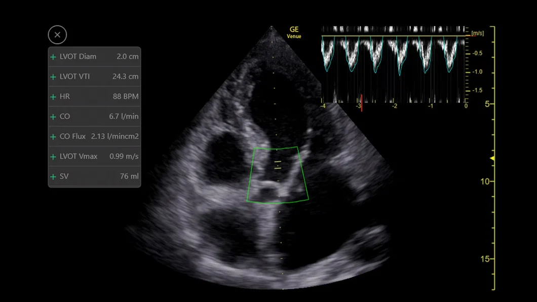
Pomažući u dosljednosti od korisnika do korisnika (bez obzira radi li se o početniku ili stručnjaku za ultrazvuk), Venue Fit sadrži resurse omogućene umjetnom inteligencijom koji kliničarima pomažu da rade pametnije i učinkovitije. Koristeći vlasničke algoritme, sintetiziramo podatke brojnih pacijenata kako bismo osigurali točne izračune za kliničko povjerenje.
Venue Fit na dijelu
Koristeći vlasničke algoritme, naši alati vođeni umjetnom inteligencijom daju točne izračune i jasan prikaz vašeg pacijenta.
Brošura o proizvodima
Otkrijte detaljne informacije o ultrazvučnom sustavu Venue Fit i saznajte kako će vam pomoći da učinkovito pružite pouzdanu njegu.

